
After traveling down to the Hawks Bay and getting up at 4:45 on Saturday morning we didn't even get to finish the six hour.
I was riding with Jason Davis. He wanted to start. He got a ok start and came into the pits about 6th I think. After a quick fuel up and swap of riders I was on my first lap. I passed a hand full of riders and came out right behind 2nd and we were not that far off 1st. I found out a few days later that was the fastest lap of the event.
Waiting in the pits and getting some food into me I heard the leaders came back. I didn't expect Jason to pop out first though. So another quick fuel up and swap of riders and I was off again.
About half way around the loop came off the bike real bad, landing off a ski jump and catching my right foot under the bike as I landed. I managed to get a lapped rider to help me up and start my bike.
I tried to twist me foot in line again because I thought it was dislocated but it didn't straighten. It was a freak accident and it wasn't even sore and the bike was fine. I try rejoined the race but couldn't put any pressure on it. I just idle back to the pits and into the ambulance.
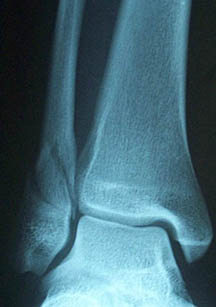
I got taken to a local hospital in Wairoa then discharged later that day. I wanted to be fixed up closer to home. I was in Waikato hospital for four nights and had surgery on my ankle. They also found that I had a broken tibia.
So at the moment I have heaps of resting to do.
This also mean I will be in a cast for 6 weeks and then another 8 weeks of trying to walk in it after that. This is a big disappointment to me because the last half of this year was a busy one with the ISDE, the GNCC and the trail sprints starting up this weekend on sunday.
Once I am mobile enough I will hopefully getting around to some events and watching from the side line. I'm not even sure if I'll be able to race until next year but I will have to see how fast I heel.
Thanks for your support,
- Karl Power

